Natural Looking White Fillings & Cosmetic Bonding To Rebuild And Improve Your Teeth at Friern Barnet N11
At Eyes & Smiles Dental Clinic in Friern Barnet N11, we can provide natural looking white fillings and dental cosmetic bonding to rebuild and strengthen your teeth.
We are able to see patients for white fillings and dental bonding in Barnet, East Barnet, Bounds Green, Arnos Grove, Southgate, Finchley, and North London.
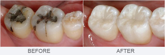
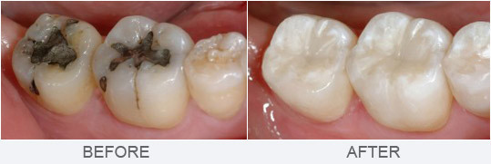
Teeth can sometimes be damaged from dental decay or through trauma. The dentists at Eyes & Smiles White Filings Dental Clinic Arnos Grove have also noticed an increase in the the amount of chipped teeth and wrong worn teeth as a result from grinding and clenching your teeth. This can then lead to further problems or tooth pain and can also make your smile very unattractive. It is important to stop and treat the damage at the earliest stages to make sure that you can still keep your smile healthy and beautiful in the long run. White fillings and dental bonding can often be a successful minimally-invasive and natural looking way to repair the damage.
At Eyes & Smiles Dental Clinic We Provide White Fillings & Dental Cosmetic Bonding
FAQs
Why should I consider white fillings and composite dental bonding?
Most people have fillings of one sort or another in their mouths. Nowadays fillings are not only functional, but can be natural looking as well. Many people don’t want silver fillings that show when they laugh or smile because they are more conscious about the way they look and about allergies to different metals. At Eyes & Smiles Dental Clinic Dental Bonding Barnet , we can provide natural white fillings and dental bonding to achieve this.
What are the benefits of white fillings and dental bonding?
White fillings and composite bonding at Eyes & Smiles Dental Clinic White Fillings Southgate look better in the mouth, don’t corrode and are bonded to the tooth therefore they glue themselves to the tooth. This allows us to make tooth preparations conservative (less drilling needed) which will help keep your teeth for longer.
How much does dental bonding and white fillings cost?
Costs usually depend on the size and type of white filling or dental bonding used and the time it takes to complete the treatment. Costs may also vary from region to region in the mouth. As a guide, white fillings start from around £135, and dental bonding from £145 but your dentist at Eyes & Smiles Dental Clinic Composite Bonding Finchley will be able to give you an idea of the cost before you agree to treatment.
Are white fillings and dental bonding as good as silver amalgam fillings?
YES! In our experience at Eyes & Smiles Dental Clinic Cosmetic Bonding Arnos Grove, we find new materials have properties comparable to silver amalgam, and these are proving to be very successful. White fillings have strengths similar to metal fillings now, and also look more natural and aesthetic. They also involve less drilling, so less invasive, as well as bond to your tooth.
What are tooth-coloured white fillings and dental bonding made of?
This can vary, but they are mainly made of glass particles, synthetic resin and a setting ingredient. Your White Fillings & Dental Bonding dentist at Eyes & Smiles N11 should be able to give you more information about the particular material that they use.
