Dental Hygienist For Teeth Stain Removal and Optimum Gum Health in Friern Barnet N11
Eyes & Smiles Dental Clinic in Friern Barnet N11 provides dental hygiene cleaning, teeth stain removal, cleaning and polishing of the teeth, for a cleaner, fresher smile! We provide dental hygiene services, teeth cleaning and air polishing to all patients around East Barnet, Barnet, Bounds Green, Arnos Grove, Southgate, Finchley and North London.
Good dental hygiene is a vital factor in overall health of the mouth and can help reduce the chance of someone losing their teeth through gum disease. Because disease of the gums can sometimes develop silently, it may not become obvious to you until it is at an advanced stage. It is a good idea to have regular hygiene cleaning done professionally at Eyes & Smiles Dental Clinic Bounds Green. This would enable you to keep teeth as long as possible! On top of that it is crucial to have healthy and unswollen gums if you are about to undertake or treatments such as fillings, orthodontics or implants.
At Eyes & Smiles Dental Clinic in Barnet you have the opportunity to experience a new type of hygiene clean without the need to resort heavily to the traditional ultrasonic scaler. With new technology, we can clean the gums and teeth with a specialised system called Aquacare, harnessing water, air and powder without any unpleasant vibrations or noise. Don't believe us? Watch the video below.
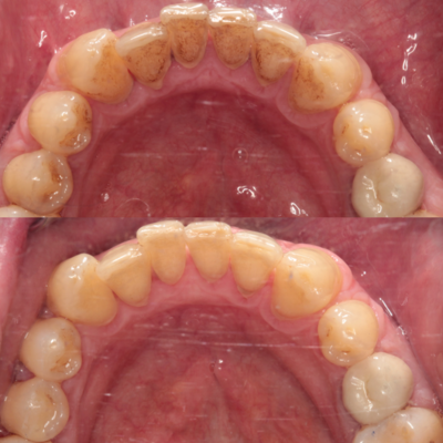
Teeth Stain Removal & Gum Health Improvement at Eyes & Smiles Dental Hygienist Clinic Friern Barnet N11
Aquacare air polishing can remove stubborn teeth stains such as smoking tobacco stains, tea and coffee stains. Book in with the dental hygienist at Eyes & Smiles Dental Clinic Finchley for your teeth cleaning appointment.
Dental Hygienist & Teeth Stain Removal At Eyes & Smiles Dental Clinic
FAQs
How do you clean stained teeth?
Your dentist at Eyes & Smiles Dental Clinic Arnos Grove recommend you can remove some staining at home with the use of an electric toothbrush, and a whitening toothpaste. However, this will only create a limited improvement of around 1 shade.
This is because once staining builds up due to things in your food and drink, they become very hard to remove and the power of an electric toothbrush is not sufficient to remove all stains.
The best way to remove staining is to see your dental hygienist at Eyes & Smiles Southgate for a professional hygiene appointment where we can use ultrasonic cleaning equipment and professional stain removing paste to remove built up and stubborn staining.
Why are my teeth turning brown in between?
This is normally due to a buildup of staining from things in your diet, such as tea, coffee, red wine, fizzy drinks. These stains build up in the difficult areas to clean, such as between teeth.
You can limit the buildup by reducing your intake of these foods and drinks, flossing daily to scrape the plaque and stains off between the teeth, using an electric toothbrush which normally has a smaller head to reach into these areas.
For the best result, it's best to see your dentist at Eyes & Smiles Finchley for professional cleaning and polishing where we can use specialised ultrasonic cleaning equipment to reach these areas, or air polishing to blast off these stains.
Why are my teeth yellow when I brush them everyday?
Before deciding to brush harder in these areas, please see your dentist at Eyes & Smiles N11, as you could be making the problem worse.
If the teeth are yellow it could be surface staining, or areas of exposed internal tooth structure. Unfortunately, brushing harder on these areas will only wear away the tooth more, exposing more of the dentine, which is the yellow inner part of the tooth. This in turn will result in more yellowing, and sensitivity as nerves will also be exposed to the outside environment.
Please consult your dentist at Eyes & Smiles East Barnet to identify the cause of the yellowing of the teeth in the first instance.
Why is this treatment important?
Regular professional cleaning at Eyes & Smiles North London combined with your home care will help keep your mouth healthy. A clean and healthy mouth will improve your appearance, help you to keep your teeth and give you fresh breath.
Will the treatment hurt?
Scaling and polishing is usually pain-free. However, if you do have any discomfort the hygienist at Eyes & Smiles Friern Barnet can use anaesthetic creams, or give you some local anaesthetic. It is important that you let the hygienist know at the time so they can help with your pain.
Can a hygienist help prevent dental disease?
This is what the training of the hygienist is all about. Carefully removing the deposits that build up on the teeth (tartar) at Eyes & Smiles Barnet and teaching you how to prevent it reforming again, will go a long way to slowing the progress of gum disease.
By discussing your diet, and recommending other preventive measures, your tooth decay can also be slowed down.
What help is available for children?
Children can benefit from having their teeth polished. The hygienist can also apply fluoride gels and solutions to help prevent decay. The permanent back teeth can also benefit from having the biting surfaces sealed. This is done by applying a special plastic coating to the biting surface soon after they come through.
What other help can be given to adults?
Adults can also benefit from having fluoride applied. They can also have anti-bacterial gels and solutions applied under the gum to kill bacteria which causes gum disease. Another very important part of the dental hygienist’s work is giving regular instruction and advice on preventative care. Your dental hygienist at Eyes & Smiles Southgate will have shown you how to remove plaque with a toothbrush and fluoride toothpaste. You will also have been shown how to clean between your teeth with floss, tape or little brushes. The relevant products required to do this are sold in the practice and your hygienist will recommend those that are best for you.
What can I do to help the hygienist?
You can do a great deal to help yourself and the hygienist, as you are in control of your dental care in between visits to Eyes & Smiles Dental Clinic New Southgate.
Cutting down the amount of sugar in your diet, and the number of times that you eat during the day, can help to reduce decay. Your hygienist can help you by looking at your decay problem, your diet and by making some recommendations for you to consider.
What is the best toothpaste?
Any toothpaste with fluoride in it is recommended, and will help to protect your teeth and gums. Although whitening toothpastes may help remove some surface staining, it is a limited result.. Toothpaste alone will not be able to whiten your teeth from the inside, or remove stubborn stains.
This is where you may want to consider professional cleaning and polishing or Dental Hygienist Services at Eyes & Smiles Southgate, or teeth whitening, which will be more effective and predictable.
What is the best whitener for your teeth?
Although there are plenty of tooth whitening toothpastes available, they aren’t able to remove dark, stubborn staining.
Other people turn to natural whitening, and often turn to online remedies such as rubbing lemons on your teeth. This can be extremely dangerous, as the acid is extremely strong, and can cause acid erosion to your teeth, causing the loss of enamel, leading to yellowing of the teeth, and sensitivity. To discuss the best whitening or stain removal options for you, speak to your dentist at Eyes & Smiles Finchley, North London.
